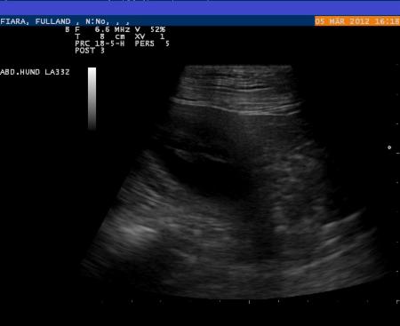
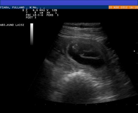
Wir waren am 05.03.2012 beim Ultraschall:
Fiara ist tragend !!!
Und hier die Beweise: Die ersten Fotos der Babys, die Ultraschallbilder !!!
05.03.2012


11.03.2012
Fiara ist fit und wird immer runder! Mal sehen wie lange sie noch in dieser Position liegen kann !!

16.03.2012
Nur noch 3 Wochen! Fiara geht es weiterhin blendend! Der Bauch wird immer runder und die Spaziergänge werden langsam kürzer. Nur die Schlafposition ist noch die gleiche :-)



23.03.2012
Nur
noch 2 Wochen! Fiara geht es super! Die Taille ist jetzt endgültig ruiniert! Sie hat mittlerweile einen Bauchumfang von 101 cm, der Abstand von Bauch zu Boden wird auch immer weniger und das spazieren gehen ähnelt mehr einem schleichgang. Aber die
Schlafposition ist noch immer die gleiche, wenn auch schon nicht mehr so lange wie sonst!
Heute habe ich auch das erste mal gefühlt wie die Babys sich bewegen!!! Fiara hatte nur einen vorwurfsvollen Blick richtung Bauch für die Bewegung über, so nach dem Motto:"Hey, lass das!"
total niedlich!


25.03.2012
Unsere Wurfkiste ist jetzt fertig und auch aufgebaut! Fiara hat schon mal probegelegen! Es geht ihr weiterhin gut und sie dreht sich immer öfter zum Bauch um. Ich glaube die Babys sind schon gut aktiv! Ansonsten ist bei dem schönen Wetter Entspannung draußen angesagt!



27.03.2012
Wie heißt es so schön: Ein kleiner Schritt für die Menschheit, aber ein großer Schritt für mich persönlich ;-)
Heute habe ich zum ersten mal gesehen wie die Babys sich im Bauch bewegen! Da ist richtig Stimmung in der Bude, verzeihung, im Bauch! :-) Fiara findet das alles recht störend glaub ich. Zumindest schaut sie so! Ich glaube sie ist froh wenn der Bauch wieder ihr alleine gehört. Sie hat jetzt heute einen Bauchumfang von 105 cm. Aber keine Angst, die Schlafposition ist immer noch die gleiche!!! Das geht alles!!
01.04.2012
Der Countdown läuft... Fiara geht es super, sie hat jetzt einen Bauchumfang von 108 cm! Sie ist zwar reichich genervt von den munteren Babys, aber es ist ja nicht mehr lange! Vorbereitet ist jetzt auch alles, in den letzten Tagen haben wir echt reichlich geschafft. Nun heißt es warten... und Daumen drücken dass bei der Geburt alles kompikationslos klappt und alle gesund bleiben.
Ach ja, die Schlafposition ist, man glaubt es kaum, immer noch die gleiche!


04.04.2012
Fiara geht es super! Sie hat jetzt einen Bauchumfang von 110cm!
Die Babys wollen allerdings, so scheint es, noch nicht auszuziehen. Alles ist bereit, jetzt heißt es warten, warten, warten.
Also, alle Daumen drücken, dass die Geburt komplikationslos verläuft und alle fit und munter sind.
